A Doença de Chagas, também conhecida como tripanossomíase americana, é uma infecção tropical causada pelo protozoário Trypanosoma cruzi. Endêmica em diversas regiões da América Latina, tem impactos significativos na saúde pública, especialmente em áreas rurais. No Brasil, embora a transmissão tenha sido controlada em grande parte, ainda há um grande número de pacientes infectados que necessitam de acompanhamento médico adequado para prevenir complicações e melhorar a qualidade de vida.
O que é a Doença de Chagas?
A Doença de Chagas é uma infecção parasitária crônica que pode provocar desde sintomas leves até formas graves e incapacitantes da doença. A infecção ocorre principalmente nas Américas, e embora tenha diminuído em várias áreas devido a campanhas de controle vetorial, a transmissão ainda é um risco, e muitos pacientes cronicamente infectados necessitam de cuidados específicos. Com o tempo, a infecção pode levar a complicações cardíacas, digestivas e neurológicas, especialmente em sua fase crônica.
Como é feita a transmissão?
A transmissão do Trypanosoma cruzi ocorre principalmente por meio de insetos vetores hematófagos, conhecidos como barbeiros, especialmente das espécies pertencentes ao gênero Triatoma. Esses insetos se infectam ao se alimentar do sangue de animais e seres humanos portadores do parasita, e, ao picarem, liberam fezes contaminadas com o protozoário próximas à pele. A infecção acontece quando as fezes do inseto entram em contato com as mucosas ou feridas cutâneas.

Além da transmissão vetorial, outras vias são reconhecidas, incluindo:
- Transmissão congênita: O parasita pode ser transmitido da mãe para o feto.
- Transfusão de sangue e transplante de órgãos: Antigamente, era comum a transmissão pela transfusão de sangue, mas a triagem de doadores reduziu drasticamente este risco.
- Consumo de alimentos contaminados: A ingestão de alimentos ou bebidas contaminados com o parasita também pode causar a infecção.
Sintomas da Doença de Chagas
A Doença de Chagas apresenta-se em duas fases distintas: aguda e crônica, cada uma com diferentes manifestações clínicas.
Fase aguda
Nessa fase, há predomínio do parasita em número elevado na corrente sanguínea do hospedeiro. Para mais, o paciente pode apresentar sintomas específicos e inespecíficos da doença.
Sintomas inespecíficos
- Febre constante e inicialmente elevada (em torno de 38,5 ºC a 39 ºC), e com possíveis picos vespertinos ocasionais. Podendo persistir por até 12 semanas;
- Prostração;
- Diarreia;
- Vômitos;
- Inapetência;
- Cefaleia;
- Mialgias;
- Adenomegalia; e
- Exantema com ou sem prurido.
Sintomas específicos

- Insuficiência cardíaca;
- Miocardite difusa;
- Pericardite;
- Derrame pericárdico;
- Tamponamento cardíaco;
- Derrame pleural;
- Edema de face, de membros inferiores ou generalizado. Em conjunto com tosse, dispneia, dor torácica, palpitações e arritmias;
- Hepatomegalias e/ou esplenomegalias;
- Sinal de Romaña: edema bipalpebral unilateral por reação inflamatória à penetração do parasita na conjuntiva e adjacências. Ocorre devido a reação inflamatória pela penetração do parasita; e
- Chagoma de inoculação: lesões furunculoides, não supurativas, com localização variada em membros, tronco e face. Assim como o sinal de Romaña, ocorre devido a reação inflamatória pela penetração do T. cruzi.

Na fase aguda todos os sintomas, mesmo quando não tratados, podem regredir espontaneamente, evoluindo para a fase crônica. Entretanto, em casos mais graves, o paciente pode evoluir para óbito.
Fase crônica
Nessa fase, a parasitemia (quantidade de protozoários na corrente sanguínea periférica) é baixa e intermitente. Além disso, o paciente pode apresentar 4 formas da doença: indeterminada, cardíaca, digestiva e forma associada ou mista.
Forma indeterminada
Nesta fase, o paciente encontra-se assintomático e sem sinais de comprometimento do aparelho circulatório. A confirmação para a anormalidade desse sistema se dá por achados normais no exame físico, eletrocardiograma e pelo raio-X de tórax normal.
Ainda na forma indeterminada o aparelho digestivo também deve apresentar-se sem alterações. Ou seja, com achados normais no exame físico, radiológico de esôfago e cólon. O paciente pode permanecer nessa fase por toda a vida. Entretanto, ao longo do tempo, também pode evoluir para as formas cardíacas, digestivas ou associadas.
Veja também:
- Residência médica em Infectologia: rotina, áreas de atuação e salário
- Atenção Primária (APS): o que é, objetivo e importância
- Medicina da Família e Comunidade: residência médica e mercado de trabalho
Forma cardíaca
Esta forma representa cerca de 30% dos casos crônicos da doença de Chagas. Por isso, ela é mais frequentemente encontrada nos pacientes que se encontram na fase crônica. Além do mais, a forma cardíaca é responsável pelo maior número dos óbitos. Isso devido a possível evolução para miocardiopatia dilatada e insuficiência cardíaca congestiva.

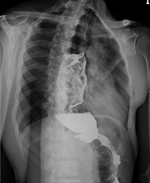
Forma digestiva
O indivíduo encontra-se nesta fase quando houver evidência de comprometimento do aparelho digestivo. Frequentemente, o megacólon e/ou megaesôfago chagásico. Para mais, representa 10% dos casos crônicos.
Forma associada ou mista (cardiodigestiva)
Nessa forma, há ocorrência concomitante de lesões no aparelho circulatório e digestivo.
Diagnóstico
Existem métodos adequados para diagnóstico a depender de qual fase ele se encontre. Assim, o método diagnóstico mais indicado para a fase aguda é o parasitológico e para a fase crônica ele é essencialmente sorológico.
Métodos diagnósticos para a fase aguda
O exame parasitológico é um método capaz de detectar o parasita circulando no sangue periférico. Os mais indicados são a pesquisa a fresco, métodos de concentração e a lâmina corada de gota espessa ou de esfregaço. Esse último sendo realizado mais frequentemente na Amazônia Legal. Isso por permitir a pesquisa concomitante do protozoário da doença de Chagas e da malária.

Caso os exames parasitológicos sejam negativos, deve-se realizar nova coleta até confirmação do caso, ou até o desaparecimento dos sintomas da fase aguda. Além disso, a sorologia deve ser feita sempre que o exame parasitológico for negativo, mas a suspeita clínica persistir. Assim, para confirmação da IgG, deve-se realizar duas coletas com intervalo mínimo de 15 dias entre elas.
Já a IgM pode estar presente em casos falsos negativos com uma grande variedade de doenças. Por isso, para considerar esse resultado, o paciente deve ter história clínica e epidemiológica sugestiva para a doença de Chagas.
Métodos diagnósticos para a fase crônica
Nesta fase a parasitemia é pouco detectável. Por isso, os métodos parasitológicos possuem baixa sensibilidade. Assim, o diagnóstico é essencialmente sorológico.
A confirmação do diagnóstico nessa fase se dá quando há positividade em dois testes sorológicos de princípios distintos e com diferentes preparações antigênicas. Sendo os exames que podem ser utilizados a hemaglutinação indireta (HAI), e imunofluorescência indireta (IFI) e o método imunoenzimático (ELISA).
Para mais, os exames recomendados para a avaliação inicial do paciente com doença de Chagas na forma crônica são o eletrocardiograma (ECG) - ao menos uma vez ao ano - e o raio-X de tórax. Caso o ECG apresenta alterações, deve-se realizar o ecocardiograma.
Além disso, em casos suspeitos de megacólon chagásico, realiza-se o exame enema opaco. E em caso de suspeita de megaesôfago, a radiografia contrastada do órgão. Em caso de suspeita de megaescófago chagásico, realiza-se a radiografia com bário para observar a progressão do contraste, bem como observar distúrbios de motilidade característicos da doença.

O diagnóstico diferencial deve ser feito com a leishmaniose visceral, malária, dengue e febre tifoide. E ainda, com a esquistossomose aguda, toxoplasmose, mononucleose infecciosa, sepse e doenças autoimunes.
Tratamento para a doença de Chagas
Para tratamento da doença de Chagas, o benzonidazol é o fármaco de escolha. Entretanto, em caso de intolerância ou não responsividade, o nifurtimox pode ser utilizado. Para mais, esse tratamento é indicado para todos os pacientes na fase aguda e de reativação da doença. Todavia, na fase crônica, a indicação deve ser avaliada de acordo com o quadro clínico, tendo o paciente com a forma indeterminada maior benefício com o tratamento.
Além disso, durante o tratamento, o uso de bebida alcoólica é proibido. Isso devido ao efeito antabuse - quadro de palpitações, sudorese, cefaleia, náusea e vômitos - resultado da associação entre as substâncias dos fármacos com o álcool.
Por fim, após iniciar o esquema terapêutico o indivíduo deve realizar o teste sorológico anualmente. Sendo considerado curado quando houver negativação do teste por 5 anos seguidos. Entretanto, nos indivíduos com a forma crônica, esse método de avaliação não é indicado.
Para pacientes na fase crônica com complicações, o tratamento sintomático inclui:
- Cardiomiopatia: Uso de betabloqueadores, inibidores da ECA, e, em alguns casos, dispositivos de assistência cardíaca.
- Megacólon e megaesôfago: Intervenções cirúrgicas ou sintomáticas, como dieta especial e agentes pró-cinéticos.
Como prevenir a doença de Chagas?
As estratégias de prevenção envolvem ações de controle vetorial e educação da população:
- Controle dos vetores: Campanhas de controle do barbeiro, com pulverização domiciliar de inseticidas, têm sido eficazes em diversas regiões da América Latina.
- Triagem de sangue e órgãos: É essencial realizar exames em doadores de sangue e de órgãos para prevenir a transmissão transfusional.
- Orientação sobre alimentação segura: Em áreas endêmicas, orientar a população a evitar o consumo de alimentos e bebidas não higienizados, como sucos não pasteurizados, que podem estar contaminados.
- Prevenção de transmissão congênita: Realizar exames em gestantes de áreas endêmicas e oferecer acompanhamento a mães positivas.
Conclusão
A Doença de Chagas é uma doença tropical negligenciada que exige um manejo integrado, considerando tanto a fase aguda quanto a crônica. Embora o controle da transmissão vetorial tenha diminuído a incidência de novos casos, os médicos ainda enfrentam o desafio de diagnosticar e tratar um grande número de pacientes que carregam a infecção de forma crônica. A prevenção e o diagnóstico precoce são essenciais para reduzir as complicações graves da doença, e o acompanhamento contínuo dos pacientes é fundamental para a detecção precoce das formas mais graves da doença.
Leia mais:
- Leptospirose: transmissão, sintomas e tratamento
- Malária: o que é, sintomas, tratamento e prevenção
- Geo-helmintíases: dos sintomas ao tratamento
- Saiba mais sobre a filariose linfática
- Leishmaniose visceral: sintomas, diagnóstico e tratamento
FONTES:
- BRASIL. Ministério da Saúde. Secretaria de Vigilância em Saúde. Guia de Vigilância em Saúde. Brasília, 2019.
- Manual do Residente de Clínica Médica . 3. ed. Santana de Parnaíba [SP]: Manole, 2023.
- Harrison's Principles of Internal Medicine. 21. ed. [S. l.: s. n.], 2022.




