O Brasil é um dos 30 países com alta carga de contágio para Tuberculose (TB), principalmente nas populações com maiores fatores de risco associados: indígenas, pessoas portadoras de HIV, em situação de rua e de pobreza, pessoas privadas de liberdade e que vivem em aglomerados. A relevância dessa condição é tamanha que foi criado um ramo na medicina apenas para o seu estudo e exercício de cuidado, a chamada "Tisiologia". Vamos entender melhor essa condição essencial para a formação médica.

O que é tuberculose pulmonar?
A Tuberculose Pulmonar é uma doença infecciosa causada pela M. tuberculosis que afeta primariamente os pulmões. Apesar disso, ela pode ser disseminada por via linfática ou hematogênica para diversos outros órgãos e sistemas. Seu principal meio de disseminação é por gotículas e aerossóis em uma exposição crônica do paciente saudável com o infectado.
Em relação a Tuberculose Extrapulmonar, as formas mais comuns são nos: gânglios linfáticos, pleura, sistema osteoarticular, sistema geniturinário (incluindo os rins), sistema gastrointestinal (intestino, estômago, fígado, baço e peritônio), sistema nervoso central (principalmente meninges), pele, olhos, orelha, glândulas adrenais, entre outros.
O que causa a tuberculose pulmonar?
O agente etiológico da Tuberculose Pulmonar é a bactéria Mycobacterium tuberculosis, um bacilo álcool-ácido resistente (BAAR), com uma parede celular rica em lipídios, facilitando a sobrevida nos macrófagos e reduzindo a efetividade da maioria dos antibióticos. Quando o sistema imune do hospedeiro é insuficiente para eliminar ou conter o bacilo, a infecção torna-se crônica, sendo caracterizada pelo surgimento de um granuloma caseoso no parênquima pulmonar.

Tipos de tuberculose pulmonar
Existem alguns tipos de classificação para o acometimento pulmonar da TB, sendo o primeiro deles o tipo Primário X Secundário.
Tuberculose primária
A TB primária é caracterizada pelo adoecimento pouco tempo após a infecção, sendo mais comum em crianças e em imunodeprimidos devido à menor capacidade imunológica.
Tuberculose secundária

Já a TB pós-primária ou secundária ocorre anos após o primeiro contágio, quando a bactéria é reativada e provoca a doença. Nessa, o pulmão é acometido em 80% dos casos e é frequente a presença de cavernas.
Além da classificação acima, ainda é possível a distinção baseada no grau de resistência aos antibacterianos disponíveis.
Tuberculose Pulmonar Multidroga-resistente (MDR-TB)
A TB Pulmonar Multidroga-resistente (MDR-TB) é uma forma grave em que a bactéria é resistente a medicamentos de primeira linha, como a isoniazida (INH) e rifampicina (RIF), usados no tratamento padrão.
Tuberculose Pulmonar Extensivamente Resistente (XDR-TB)
Já o tipo Pulmonar Extensivamente Resistente (XDR-TB) é ainda mais grave, sendo resistente não só à Rifampicina e Isoniazida, como também às quinolonas e os injetáveis de segunda linha (Capreomicina, canamicina e amicacina)
Quais os sintomas da tuberculose pulmonar?
Os principais sintomas para suspeita da tuberculose pulmonar são a tosse persistente (seca ou produtiva) por mais de 3 semanas, febre vespertina (aquela que ocorre no final do dia), sudorese noturna e emagrecimento. Na Tuberculose Miliar, aquela distribuída no parênquima, há disseminação hematogênica do bacilo, sendo considerada a forma mais grave da doença. Hepatomegalia e alteração do sistema nervoso também podem estar presentes.

Diagnóstico
O diagnóstico bacteriológico pode ser feito através da baciloscopia de escarro, o mais utilizado no Brasil. Esse teste faz uso do método de Ziehl Neelsen (baciloscopia direta), que promove a detecção de > 60% dos casos, mas em crianças tem sua sensibilidade diminuída, pois geralmente são abacilíferas e apresentam mais dificuldade na obtenção de uma boa amostra. A baciloscopia positiva associada ao quadro clínico compatível permite o fechamento do diagnóstico e o início do tratamento.
Veja também:
- Pneumologia: O que é, residência médica e mercado de trabalho
- Residência em Pediatria: O que é, e mercado de trabalho
- Quais processos seletivos de residência médica oferecem prova prática?
DICA DE PROVA
Tuberculose pulmonar é um tema muito prevalente no Brasil e nas provas de residência, logo, não é incomum que questões tragam detalhes, principalmente de diagnóstico e tratamento. Sendo assim, lembre-se que para o exame de baciloscopia é necessária a coleta de 2 amostras, sendo uma delas no primeiro contato com o serviço de saúde e a outra na manhã seguinte.
O teste rápido molecular (TRM-TB/GeneXpert) é indicado para adultos e adolescentes com tuberculose pulmonar, possuindo sensibilidade de 90% para escarros, sendo superior à baciloscopia. E ainda, possui sensibilidade de 95% para capacidade de detecção de resistência à Rifampicina. Essa resistência guiará a escolha terapêutica, sendo o caso uma MDR-TB ou XDR-TB.
Ademais, ainda há a possibilidade da realização de Cultura da Tuberculose. Essa técnica é caracterizada como de alta especificidade e sensibilidade. Essa é indicada principalmente nos casos de forte suspeita clínica com baciloscopia negativa. Mais um benefício desta opção diagnóstica é que, junto com a cultura, já pode ser feito o Teste de Sensibilidade aos Medicamentos para identificar uma possível resistência.
Além disso, ainda temos o quadro da TB Latente, aquela que infecta o indivíduo, porém não causou repercussões clínicas no organismo. Essa é diagnosticada pelo Teste Tuberculínico, também chamado de Teste de Mantoux, em que ocorre a reação à tuberculina intradérmica do tipo hipersensibilidade tardia vista pelo achado cutâneo representado abaixo:

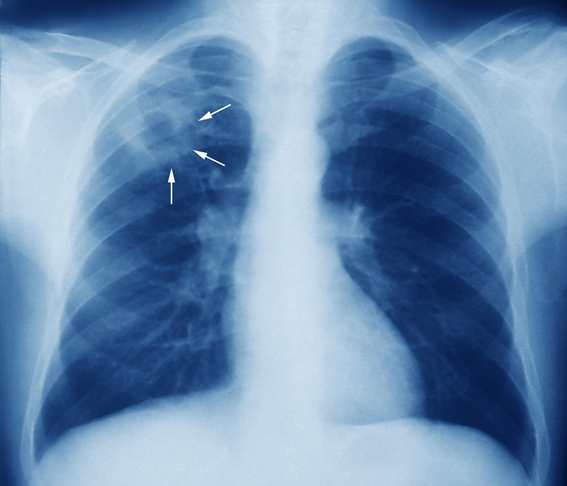
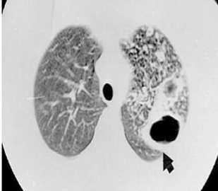
Como identificar a tuberculose no raio-x?

O diagnóstico por imagem é iniciado por avaliação do Raio-X, que deve ser solicitado para todo paciente com suspeita clínica de Tuberculose Pulmonar após a anamnese e exame físico. Essa solicitação tem por objetivo fazer a exclusão de outros diagnósticos diferenciais, avaliar a extensão do acometimento da doença e acompanhar a evolução do tratamento. Alguns achados suspeitos de no Raio-X são as cavidades, nódulos, consolidações, massas, derrame pleural e alargamento do mediastino.

Diagnóstico diferencial
A doença deve ser incluída no diagnóstico diferencial de febre de origem indeterminada, síndrome consumptiva, pneumonia de resolução lenta e em todo paciente com tosse prolongada de causas desconhecidas. Para além disso, o diagnóstico diferencial da tuberculose pulmonar deve ser feito com silicose, infecções fúngicas, neoplasias, infecções bacterianas, doenças autoimunes e embolia pulmonar.
Tratamento da tuberculose pulmonar
O tratamento da tuberculose possui duas fases: a intensiva e a fase de manutenção.
Fase intensiva
Nesta fase o objetivo do tratamento é reduzir drasticamente a maioria dos bacilos e eliminar bacilos resistentes, diminuindo a contagiosidade. Os medicamentos utilizados são: ifampicina, a isoniazida, a pirazinamina e o etambutol.
Fase de manutenção
Apenas dois medicamentos são utilizados nesta fase, a rifampicina e isoniazida. Eles têm o objetivo de eliminar bacilos latentes e diminuir a possibilidade de recidiva da doença.
DICA DE PROVA
Você recorda a estratégia terapêutica dos sistemas de saúde para a manutenção da vigilância no tratamento da Tuberculose (visto que é longo, durando 6 meses)? Ela se chama Tratamento Diretamente Observado (TDO), em que a equipe de saúde monitora a ingestão do medicamento pelo paciente em estabelecimentos de saúde próximos à residência do indivíduo, aumentando assim a adesão e cumprimento ideal das dosagens.
Em crianças, o uso do etambutol é contraindicado devido ao risco de neurite óptica. O tratamento exposto na tabela é indicado para todas as apresentações clínicas (pulmonares e extrapulmonares), com exceção da apresentação meningoencefálica e osteoarticular. Veja abaixo uma tabela do Ministério da Saúde esquematizando o tratamento preconizado da TB:
Por fim, o esquema terapêutico da TB Latente é realizado em pacientes imunocompetentes pelo uso da Isoniazida 5 a 10 mg/kg/dia (dose máxima de 300 mg/dia) por 6 ou 9 meses (preferencialmente 9 meses pela maior eficácia). Além desse, outro esquema indicado pelo Ministério da Saúde é com a Rifampicina 10 mg/kg/dia (dose máxima de 600 mg/dia) por 4 meses. O terceiro e último esquema possível é o de Rifapentina + Isoniazida por 3 meses.
Conclusão
A Tuberculose pulmonar é uma doença grave que afeta milhões de brasileiros. Embora seja tratável, requer um esforço do Sistema de saúde, da equipe profissional e do paciente para sua erradicação e prevenção de disseminação. A conscientização, a detecção precoce e o tratamento adequado desempenham um papel importante na luta contra essa doença, e esforços contínuos são necessários em prol da saúde pública.
Leia mais:
- Tuberculose congênita e perinatal: o que é, tratamento e profilaxia
- Tuberculose intestinal: o que é, sintomas e tratamento
- Você domina o manejo da doença meningocócica?
- Doença meningocócica no público pediátrico: do diagnóstico ao tratamento
- Infecções do sistema nervoso central: diagnóstico, tratamento e mais!
FONTES:
- MANUAL DE RECOMENDAÇÕES PARA O CONTROLE DA TUBERCULOSE NO BRASIL
- MDSmanuals
- FILHO, G. B. Bogliolo Patologia. 9 ed. Minas Gerais: Guanabara Koogan, 2016
- Emedicine
- Sopterj




