A tuberculose intestinal (TBi) é um tipo de apresentação da tuberculose, que ocorre quando o bacilo da tuberculose acomete o intestino. É um tipo relativamente raro, cerca de apenas 1 a 3 % dos casos totais de TB, porém deve ser sempre considerada. É mais comum em países em desenvolvimento, como o Brasil.
Nesse post iremos abordar sobre a tuberculose intestinal, seu quadro clínico e tratamento!
O que é tuberculose intestinal
A tuberculose intestinal ocorre quando o bacilo da tuberculose, o Mycobacterium tuberculosis, acomete o intestino. Esse bacilo normalmente acomete o pulmão, porém, em algumas situações específicas, podem atingir outros órgãos. Geralmente, está relacionada com algum grau de imunossupressão, como na infecção pelo HIV e em transplantados.
Além da imunossupressão, outros fatores de risco são: cirrose, diabetes mellitus, neoplasia maligna e realização de diálise peritoneal.
Fisiopatologia
A doença pode ocorrer por duas vias principais: por reativação de um foco primário, geralmente pulmonar, que dissemina por via hematogênica e/ou linfática ou por deglutição de alimento contaminado ou de expectoração dos doentes com tuberculose pulmonar ativa.
A TBi ocorre mais no ceco e no íleo terminal, devido ao estreitamento do lúmen nessa região, à pouca atividade digestiva e à presença de células M, que aumentam a absorção do bacilo da tuberculose.
Quais os sintomas
Os sintomas podem ser inespecíficos e normalmente aparecem de forma insidiosa, durante meses antes do diagnóstico. A dor abdominal é o sintoma mais comum. Além dela, costumam aparecer sintomas como febre, sudorese noturna, perda de peso, diarreia e anorexia. De mais específicos, pode ocorrer sangramento digestivo baixo e constipação.
No exame físico pode ser visto palidez cutânea, sangramento retal, distensão abdominal e ascite, hepatoesplenomegalia, linfadenopatia e pode ser palpada uma massa abdominal.
Em caso de complicações, como fístula, obstrução ou perfuração, podem aparecer sintomas como hemorragia digestiva e sinais e sintomas de peritonite.
Diagnóstico
O diagnóstico pode ser levantado por meio da clínica e exames de imagem, sendo confirmado por colonoscopia com biópsia. Se tiver ascite presente, pode-se pesquisar a TB no líquido ascítico.
De exames laboratoriais, é comum a presença de hemoglobina e albumina baixas e PCR aumentado.
Pesquisa do bacilo
A tuberculose intestinal é uma doença paucibacilar e os testes de BAAR em escarro parecem não ser bons para seu diagnóstico. O teste de quantiferon parece ser o ideal, porém ainda tendo muitos falso-negativos. No caso de ascite, pode realizar o teste ADA do líquido ascítico, que é um bom marcador.
O PCR para mycobacterium pode ser usado como adjuvante no diagnóstico inicial. Ou seja, a maioria das modalidades de testes específicos para o bacilo da TB tem alta especificidade, mas baixa sensibilidade, sendo muitas vezes possível confirmação diagnóstica apenas por meio da biópsia.
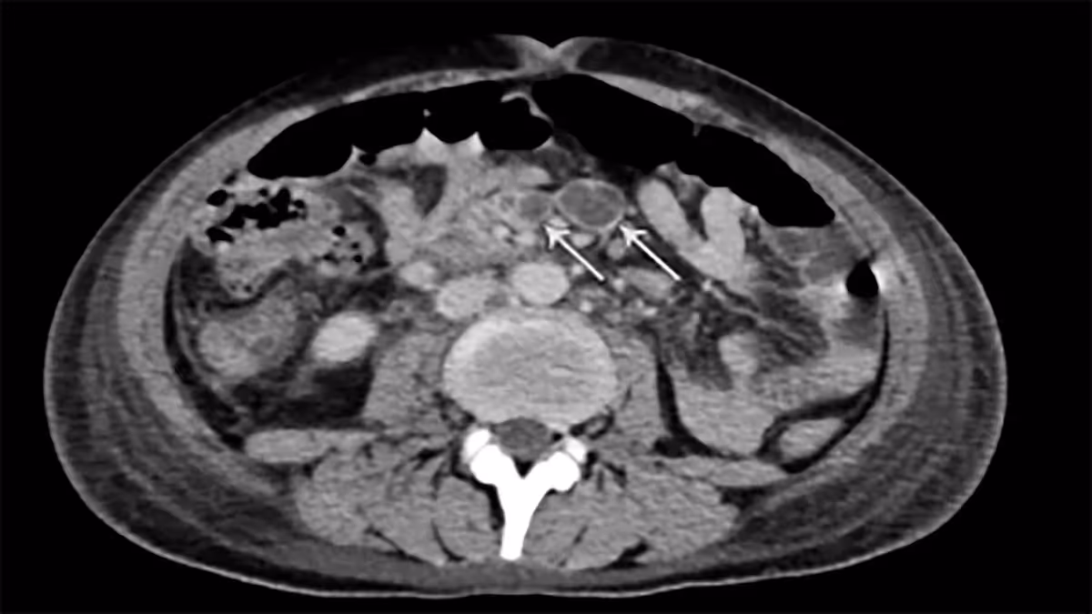
Exame de imagem
Em casos de suspeita clínica, o exame de imagem de escolha é a tomografia computadorizada de abdome. Os principais achados são: espessamento circunferencial e assimétrico de segmentos intestinais (podendo ter áreas de estenose – Sinal de Stierlin), linfonodomegalia abundante com centro liquefeito ou necrótico (necrose caseosa), sinais inflamatórios em planos gordurosos adjacentes.
Pode ter, ainda, outros acometimentos de TB abdominal ou sinais de TB pulmonar. O envolvimento de órgãos sólidos se manifesta como múltiplos pequenos nódulos hipoatenuantes vistos na superfície e em todo o parênquima.

Biópsia
A biópsia, que pode ser feita por meio de colonoscopia, é utilizada para o diagnóstico definitivo. Macroscopicamente, pode se apresentar de forma ulcerativa, hipertrófica ou um combinado dos dois. Na forma ulcerativa, há múltiplas úlceras, superficiais e profundas e circunferenciais. Na forma hipertrófica, predomina espessamento parietal e aparência de massa. Essas lesões sofrem fibrose, resultando em cicatrizes e áreas de estenose luminal.

Microscopicamente, é visto granulomas caseosos, frequentemente numerosos e confluentes, com periferia contendo uma mistura de linfócitos, plasmócitos e células gigantes. A pesquisa de bacilos-ácidos resistentes (BAAR) permite encontrar o agente etiológico nas áreas de necrose e granuloma.

Diagnóstico diferencial
Um dos principais diagnósticos diferenciais da tuberculose intestinal são as neoplasias. A TBi é muitas vezes confundida com câncer de esôfago, úlceras e tumores esofágicos, úlceras gástricas, câncer gástrico, câncer colorretal e sarcomas, o que acaba sendo descoberto apenas após a biópsia do granuloma, que foi retirado cirurgicamente.
Porém, o diagnóstico diferencial mais importante é a doença de Chron. A taxa de diagnóstico incorreto pode chegar a 50% a 70%, devido semelhança do quadro de diarreia e características semelhantes em exames endoscópicos, como a presença de úlceras. O PCR para mycobacterium parece ser um bom exame para ajudar na diferenciação.
Também é clinicamente semelhante a infecções agudas, como apendicite, colite, colecistite aguda e fasceíte necrosante. Em pacientes em que o diagnóstico seja muito sugestivo, porém não confirmado, o tratamento para tuberculose pode ser começado de forma empírica, por meio de um teste terapêutico, para avaliar a resposta.
Como funciona o tratamento
O tratamento da tuberculose intestinal ocorre da mesma forma da tuberculose pulmonar, com o esquema de antibióticos isoniazida, rifampicina, pirazinamida e etambutol, apresentando boas respostas.
Se presente alguma complicação, como perfuração, fístula ou obstrução, cirurgia pode ser necessária. Pode ser feito bypass dos segmentos intestinais envolvidos (método menos utilizado pelo risco de complicações), ressecção total dos segmentos envolvidos (hemicolectomia) ou cirurgias conservadoras, como estenoplastia em alguns casos de estenose do lúmen. A grande dificuldade, porém, encontra-se no fato de que a maioria desses pacientes encontram-se desnutridos, tornando-os maus candidatos cirúrgicos.
Conclusão
A tuberculose intestinal é uma apresentação atípica da tuberculose, mais comum em imunossuprimidos. O quadro clínico é caracterizado por dor abdominal e outros sintomas pouco específicos.
O diagnóstico é feito por meio da clínica e exame de imagem, sendo confirmado pela biópsia. O tratamento é igual ao da tuberculose pulmonar.
Leia Mais:
- Pneumologia: Rotina, Mercado de Trabalho e Remuneração
- Pneumonia Viral: O que é, Quais os Sintomas, Diagnóstico e Tratamento
- Sarampo: sintomas, diagnóstico e tratamento
FONTES:
- Tuberculose intestinal. Dr. Pixel. Campinas: Dr. Pixel, 2018. Disponível em: n Acesso em: 12 out. 2022.
- CHAKINALA, Raja; KHATRI, Ashley. Gastrointestinal tuberculosis. 2022, StatPearls Publishing LLC.



