No contexto das síndromes respiratórias agudas, a pneumonia viral ocupa um lugar de destaque, tanto na prática clínica quanto nas avaliações teóricas. Saber reconhecer seus padrões típicos, interpretar exames e diferenciar de causas bacterianas é essencial para uma conduta eficaz. Apesar de muitas vezes subestimada, ela exige atenção aos detalhes e tomada de decisão criteriosa, principalmente diante de pacientes imunossuprimidos ou em extremos de idade.
Para oferecer o melhor atendimento ao seu paciente e chegar mais preparado para sua prova de residência, neste texto você aprenderá quais são as causas, os sintomas e como diagnosticar e tratar a pneumonia viral.
O que é Pneumonia viral e quando suspeitar?

A pneumonia viral é uma infecção respiratória que acomete os pulmões. Por atingir principalmente os alvéolos e o interstício, a doença é capaz de provocar fluidos e edema do órgão.
Em termos epidemiológicos, os vírus mais associados às pneumonias adquiridas na comunidade são influenza, vírus sincicial respiratório (VSR), parainfluenza, adenovírus, metapneumovírus e, desde 2020, o SARS-CoV-2. Em adultos, o Influenza A é um dos principais agentes em períodos sazonais (outono-inverno), com risco aumentado em gestantes, idosos e imunocomprometidos. Já o VSR é clássico em crianças menores de 2 anos, sendo causa frequente de hospitalização.
Apesar da transmissão desses vírus ser alta, o risco de desenvolver pneumonia é baixo, pois o sistema imunológico, na maioria das vezes, é capaz de combatê-los.
Sintomas da pneumonia viral
Os sintomas que nos levam a suspeitar da presença da pneumonia viral costumam surgir dias após o contato com o agente infeccioso e o paciente tende a piorar com o passar dos dias.
Assim, na prática e nas provas, o quadro clínico típico é subagudo, muitas vezes precedido por sintomas gripais. A presença de febre, queda do estado geral e piora progressiva da dispnéia em um paciente previamente hígido deve acender o alerta, especialmente em épocas de circulação viral intensa.
A pneumonia viral é muito semelhante a outras infecções pulmonares agudas e tem como principal manifestação a tosse produtiva (antes seca), que costuma vir acompanhada de outros achados clínicos, elencados abaixo:
- Dispneia;
- Dor pleurítica, mais comum na pneumonia bacteriana;
- Cefaleia e mialgia difusa;
- Febre de até 39°C;
- Desconforto no peito ou dor do tipo ‘”pontada”, “dor nas costas”; e
- Aumento da frequência cardíaca e respiratória.
Nos pacientes idosos as manifestações podem ser diferentes a depender do perfil de fragilidade do paciente. Dessa maneira, ela pode se desenvolver sem a presença de febre e podem estar presentes sintomas inespecíficos, não relacionados ao sistema respiratório como: queda do estado geral, sonolência desequilíbrio e dores abdominais. E ainda, há relatos de incontinência urinária, fadiga e hiporexia.
Já em bebês, é possível desconfiar da doença quando a gripe se prolonga ou quando os sintomas pioram com o passar do tempo. O quadro clínico desse grupo é composto por febre que não cede, falta de apetite, desconforto respiratório (podendo incluir tiragem intercostal nos achados do exame físico), tosse persistente e respiração rápida.
Diferenças entre Pneumonia Viral e Bacteriana
Distinguir pneumonia viral da bacteriana é um dos pontos mais explorados em provas de residência, além de ser essencial na prática clínica para uma boa conduta médica. Embora exista uma sobreposição de sintomas e sinais, alguns pontos ajudam a orientar a suspeita diagnóstica.
Exame físico
De modo geral, a pneumonia viral costuma ter início mais subagudo, com quadro gripal prévio, tosse seca, febre mais moderada, mialgia e sintomas mais evidentes, como prostração e cefaleia. A ausculta pode revelar estertores difusos, e a hipoxemia pode ser desproporcional ao exame físico. Já a pneumonia bacteriana tem instalação mais abrupta, com febre mais alta, calafrios, tosse mais produtiva (com expectoração purulenta) e sinais de consolidação, como submacicez, aumento do frêmito tóraco vocal e broncofonia.
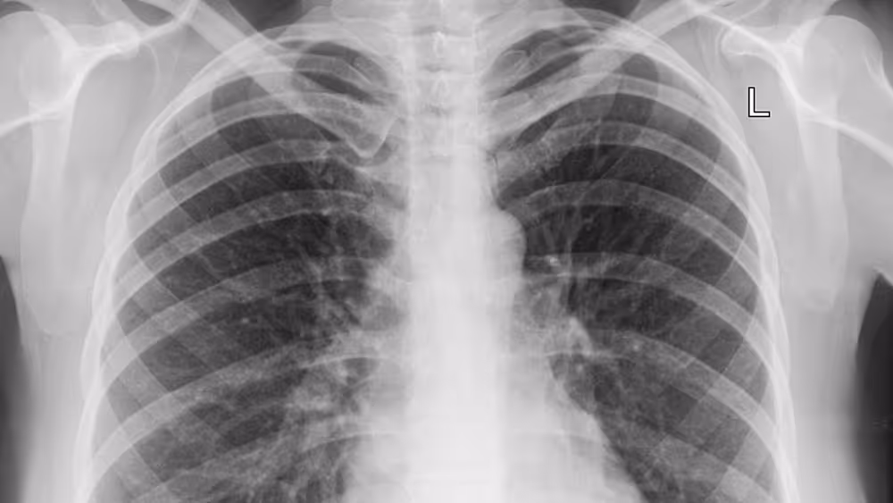
Exame de imagem
Na imagem, a bacteriana tipicamente mostra consolidação lobar ou broncopneumonia, enquanto que a viral apresenta infiltrado intersticial difuso, muitas vezes bilateral, podendo ter padrão em “vidro fosco” na tomografia.
Exame laboratorial
Laboratorialmente, a bacteriana pode cursar com leucocitose com desvio à esquerda, enquanto que a viral apresenta linfocitose relativa ou leucograma normal. A procalcitonina elevada aponta para a etiologia bacteriana, e níveis baixos tendem a indicar origem viral.
Vale dizer que uma das pegadinhas clássicas nas provas de residência envolve quadros gripais que evoluem com piora clínica progressiva e infiltrado intersticial difuso em imagem. Se a questão enfatizar pouca ou nenhuma resposta ao uso precoce de antibióticos, pense em pneumonia viral.
Além disso, lembre-se: infiltrado bilateral e padrão em “vidro fosco” em tomografia, especialmente em épocas de surto, é pista frequente para virose respiratória.
Veja Também:
- Residência médica em Clínica Médica: rotina, áreas de atuação e Salário
- R+ em Clínica Médica: Vale a pena fazer? Tudo o que você precisa saber
- Como se preparar para o enamed: dicas e estratégias para a aprovação
Como fazer o diagnóstico da Pneumonia Viral?

O diagnóstico é essencialmente clínico, levando em consideração a apresentação clínica do paciente e o exame físico. Além disso, para identificar o vírus respiratório podem ser utilizados quatro métodos: cultura viral, detecção rápida de antígeno, sorologia e método de amplificação de ácidos nucléicos.
As amostras de secreções respiratórias do nariz e da garganta devem ser colhidas até o 3º dia de sintomas, mas também o procedimento pode ser feito até o 7º dia. Já para avaliar o comprometimento dos pulmões, recomenda-se fazer um raio-x do tórax ou tomografia e para mensurar a oxigenação no sangue devem ser solicitados exames de sangue como a gasometria arterial.
Tratamento da Pneumonia Viral

Além do tratamento de suporte (repouso, da dieta leve e da boa hidratação), existe o tratamento medicamentoso para a pneumonia viral, de acordo com o patógeno que causou a infecção. Quando a infecção é causada pela Influenza, o esquema terapêutico pode ser feito com zanamivir ou oseltamivir (tamiflu), por 5 a 10 dias.
O Tamiflu deve ser iniciado idealmente nas primeiras 48 horas do início dos sintomas, em intervalo em que sua eficácia é maior na redução da duração da doença e na prevenção de desfechos graves. Contudo, em grupos de risco, como crianças menores de 5 anos, idosos, gestantes, puérperas até duas semanas pós-parto, imunocomprometidos e portadores de comorbidades crônicas, o tratamento está indicado mesmo após esse período. Nesses grupos, a terapia antiviral pode contribuir para a redução das complicações, internações e mortalidade.
Em alguns casos a pneumonia viral surge juntamente com a pneumonia bacteriana. Nesse caso, é indicado o uso de antibióticos.
Se a doença cursar sem complicações, o tratamento deve se estender por 5 dias, em casa. No entanto, se o paciente apresentar sinais de gravidade o internamento pode ser necessário e o tratamento deve durar 10 dias.
Dentre os sinais de gravidade, temos a taquipneia, hipóxia (SpO2 < 95%), desconforto respiratório, alteração do nível de consciência, instabilidade hemodinâmica ou comorbidades descompensadas. Nesses casos, a hospitalização torna-se necessária com o tratamento prolongado. Como auxílio na estratificação do risco de mortalidade, pode-se utilizar o escore MuLBSTA, que considera seis variáveis: presença de infiltrado bilateral, linfopenia, tabagismo atual, idade ≥ 60 anos, hipertensão e coinfecção bacteriana.
Os sinais de complicação da doença são: dificuldade para respirar, dessaturação, alterações da função renal e de nível de consciência. Ademais, o médico deve recomendar como tratamento para a pneumonia viral evitar lugares públicos e mudanças bruscas de temperatura.
Quais os outros tipos de pneumonia?
Pneumonia química
Proveniente da inalação ou aspiração de substâncias químicas (fumaça, vapores de agrotóxicos, solventes, venenos industriais) que causam a inflamação pulmonar. A manifestação dos sintomas ocorre imediatamente após a contaminação e o paciente passa a ter falta de ar e dificuldades para respirar.
Entretanto, a depender das substâncias é possível que a apresentação clínica seja tardia. Vale salientar que, a inflamação pulmonar causada pela aspiração de vômito ou refluxo gastroesofágico (pneumonia aspirativa), também é considerada pneumonia química. Isso se deve ao fato da acidez do suco gástrico ser o agente causador da irritação química pulmonar.
Alguns sintomas como o chiado no peito, irritação no nariz e na garganta, fraqueza, náuseas e presença de sangue no muco podem ser observados. Caso não seja tratada de maneira correta pode causar as seguintes complicações: inconsciência, insuficiência respiratória e inchaço da língua, boca e olhos.
A depender da gravidade do quadro clínico e do nível de exposição a substância química, o paciente precisa de suplementação de oxigênio ou de ventilação mecânica. Em alguns casos, recomenda-se a fisioterapia respiratória. O diagnóstico é clínico, mas uma radiografia torácica e a mensuração da oxigenação sanguínea podem auxiliar.
Pneumonia fúngica
Este é um tipo de enfermidade causada por fungos. Apesar de rara, é uma condição potencialmente agressiva, que acomete mais facilmente imunodeprimidos ou com doenças crônicas. Os três principais agentes infecciosos são: Histoplasma capsulatum, Coccidioides immits e Blastomyces dermatitidis. Elas são responsáveis por causar a histoplasmose, a coccidioidomicose e a blastomicose, respectivamente.
O diagnóstico se dá a partir da identificação do tipo de fungo presente na expectoração ou na análise de sangue que mostra alguns anticorpos, embora ela seja suficiente apenas para confirmar a exposição ao microrganismo.
Os principais sintomas são: febre, calafrios, tosse, dor no peito, dor no tórax e respiração rápida e curta. Em casos mais graves o paciente pode apresentar cianose, aumento da frequência cardíaca, pressão baixa e confusão mental. O tratamento é realizado com antifúngicos.
Pneumonia nosocomial
Quando a pneumonia se instala 48 horas antes ou após o internamento hospitalar chamamos de pneumonia nosocomial ou pneumonia adquirida em comunidade.
Dentre outros sintomas, a dor do tipo pleurítica e a fraqueza são muito comuns. Além disso, no exame físico podem ser observados a presença de macicez ou submacicez à percussão, murmúrios vesiculares diminuídos e presença de estertores finos à ausculta. Aqui também o diagnóstico é clínico e também são realizados exames de imagem do tórax (raio-x e tomografia).
Como prevenir a pneumonia viral?
De maneira geral, a fim de evitar qualquer infecção viral, a orientação é lavar as mãos, usar álcool em gel, sobretudo ao frequentar locais públicos, e evitar o compartilhamento de objetos de uso pessoal. Além disso, as vacinas da gripe e pneumocócica também auxiliam na prevenção de complicações associadas à pneumonia viral, assim como manter o sistema imunológico fortalecido com uma boa alimentação e prática regular de exercícios físicos.
Vacina pneumocócica
Embora a vacina pneumocócica não proteja diretamente contra infecções virais, ela tem papel essencial na prevenção de infecções bacterianas secundárias, como a pneumonia pneumocócica, que pode se sobrepor a quadros virais como influenza e COVID-19. Além disso, também protege contra outras doenças invasivas, como meningite e otite.
Existem três tipos principais de vacina pneumocócica:
- Vacina pneumocócica conjugada 10-valente (VPC10)
- Vacina pneumocócica conjugada 13-valente (VPC13)
- Vacina pneumocócica polissacarídica 23-valente (VPP23)
A primeira protege contra 10 sorotipos de pneumococos, a segunda contra 13 sorotipos e a terceira contra 23. A aplicação varia conforme a idade e a condição clínica do paciente. Veja a seguir:
- Crianças de 2 meses a menores de 6 anos: vacinação rotineira com VPC10 ou, em algumas regiões, já com VPC13;
- Crianças acima de 6 anos, adolescentes e adultos com doenças crônicas ou imunossupressão: esquema sequencial com VPC13 e VPP23, com intervalo de 8 semanas entre as doses;
- Pessoas acima de 60 anos com comorbidades ou imunossuprimidas: também devem receber o esquema sequencial VPC13 + VPP23;
- Demais adultos saudáveis acima de 60 anos: podem receber a VPP23, conforme avaliação clínica e diretrizes locais.
Vacina da gripe
A vacina contra a gripe (influenza) é uma das principais estratégias para prevenir infecções respiratórias graves, hospitalizações e mortes, especialmente em grupos de risco. Ela protege contra os principais vírus circulantes (H1N1, H3N2 e influenza B) e está disponível anualmente no SUS.
As campanhas nacionais priorizam os seguintes grupos:
- Idosos (60 anos ou mais);
- Crianças de 6 meses a menores de 6 anos;
- Gestantes e puérperas;
- Profissionais de saúde e da educação;
- Pessoas com comorbidades (como asma, diabetes, doença cardíaca ou renal crônica);
- Pessoas privadas de liberdade.
Durante os períodos de maior cobertura vacinal, o Ministério da Saúde pode ampliar a oferta para todas as pessoas acima de 6 meses de idade, mesmo fora dos grupos prioritários, conforme disponibilidade de doses.
A pneumonia viral é uma causa relevante de infecção pulmonar, especialmente em períodos sazonais e em grupos vulneráveis. Apresenta quadro clínico subagudo, com febre, tosse seca e sintomas gripais prévios. Diferenciá-la da forma bacteriana é essencial, tanto pela conduta quanto pelas características cobradas na prova. O diagnóstico é clínico, complementado por exames laboratoriais e de imagem. O tratamento inclui antivirais específicos, suporte sintomático e, em alguns casos, antibióticos para coinfecção. A prevenção se dá por medidas de higiene e vacinação anual contra gripe e infecções pneumocócicas.
Está na reta final e precisa de foco total?
Os cursos Intensivo R1 2025 e Intensivo R+ 2025 do Eu Médico Residente foram feitos para isso. Com aulas direcionadas, mapas mentais e questões que simulam o que realmente cai, você transforma revisão em resultado – seja para acesso direto ou subespecialidade. Ambos os cursos são atualizados, baseados em evidências e com metodologia pensada por quem vive a residência médica todos os dias — e já ajudou milhares de médicos a conquistarem sua vaga. Chegou a hora de transformar esforço em aprovação.
👉Acesse agora e prepare-se com quem mais aprova
Leia Mais:
- Síndrome gripal: epidemiologia, sintomas e tratamento
- Fibrose cística: sintomas e diagnóstico essencial para a prática médica
- Insuficiência respiratória aguda: etiologia, diagnóstico e manejo
- Síndrome respiratória aguda grave: o que causa, diagnóstico e como tratar
- Acidose respiratória: o que é, sintomas e tratamento
FONTE:
- CILLONIZ, C.; et al. Viral Pneumonia: From Influenza to COVID-19. Semin Respir Crit Care Med. 45. 2; 207-224, 2024
- PRATT, M. T. G.; et al. Prevalence of respiratory viruses in community-acquired pneumonia in children: a systematic review and meta-analysis. Lancet Child Adolesc Health. 6. 8; 5
- BROADDUS, V. Courtney. et al. Murray & Nadel tratado de medicina respiratória. 6.ed. Rio de Janeiro: Elsevier, 2017. pp. 556-581.55-570, 2022
- van Vugt SF, Verheij TJ, de Jong PA, et al. Diagnosing pneumonia in patients with acute cough: clinical judgment compared to chest radiography. Eur Respir J 2013; 42:1076.
- Metlay JP, Waterer GW, Long AC, et al. Diagnosis and Treatment of Adults with Community-acquired Pneumonia. An Official Clinical Practice Guideline of the American Thoracic Society and Infectious Diseases Society of America. Am J Respir Crit Care Med 2019; 200:e45.




