O feocromocitoma é um tumor raro, que atinge cerca de 0.8 a cada 100.000 pacientes por ano. Em indivíduos hipertensos, é responsável por causar hipertensão arterial secundária - hipertensão devido à doença identificável - em 0,2% dos pacientes.
Para mais, é um tumor que atinge igualmente homens e mulheres, sendo mais comumente diagnosticados durante a quarta e quinta década de vida. E mais, quando não identificado e ressecado, o feocromocitoma pode provocar desfechos fatais.
O que é Feocromocitoma?
O feocromocitoma é um tumor de células cromafins. Essas células estão localizadas na camada medular da glândula suprarrenal, e apresentam em seus citoplasmas grânulos neurossecretores de catecolaminas (dopamina, epinefrina, norepinefrina). Dessa forma, o feocromocitoma é um tumor secretor de catecolaminas.

As células cromafins são análogas aos gânglios simpáticos, que são neurônios do sistema nervoso autônomo que também tem função de secreção de catecolaminas. Assim, à microscopia, as células neoplásicas do feocromocitoma tem morfologia muito semelhante à morfologia desses neurônios. Observe a imagem abaixo.

Para mais, o feocromocitoma faz parte dos tumores secretores de catecolaminas (TSC), representando 85 a 95% dos tumores intra-adrenais. Já os tumores extra supra renais, também secretores de catecolaminas, são denominados paragangliomas, representando 10 a 15% dos TSCs.
Além disso, apesar da maioria dos TSC apresentarem-se de forma esporádica, cerca de 40% decorrem de herança familiar, sendo autossômica dominante. Nesses pacientes, é mais comum que o tumor apresente-se bilateralmente (em ambas as adrenais) ou em forma de paragangliomas.
Por fim, as doenças familiares associadas com o feocromocitoma são a síndrome de Hippel-Lindau (10%), as neoplasias endócrinas múltiplas tipo II (50%) e a neurofibromatose tipo I (2 a 3%).
Sintomas do Feocromocitoma:
Cerca de 50% dos pacientes com feocromocitomas apresentam sintomas. Sendo a principal manifestação a hipertensão arterial sistêmica. Essa, quando presente, pode ser uma hipertensão arterial sistêmica resistente, definida pela níveis pressóricos acima dos valores almejados, mesmo após introdução de três fármacos anti-hipertensivos de diferentes classes, incluindo um diurético.
Ou ainda, através da hipertensão paroxística, em que 50% dos pacientes apresentam picos hipertensivos alternados com momentos de pressão arterial dentro dos limites da normalidade. Essas manifestações clínicas estão associadas com o aumento das catecolaminas circulantes, bem como pela secreção de outras substâncias vasoativas que podem ser secretadas pelo feocromocitoma.
Assim, a secreção de catecolaminas promove a tríade clássica de sintomas do feocromocitoma: taquicardia, sudorese profusa e cefaléia. Entretanto, é importante ter em mente que a maioria dos pacientes não apresenta a tríade clássica dos sintomas. Todavia, quando presentes, apresentam sensibilidade de 89% e especificidade de 67% para diagnóstico dos tumores secretores de catecolaminas.
Por fim, em alguns poucos pacientes, a principal catecolamina secretada pelo feocromocitoma é a adrenalina. Nesses indivíduos, o principal sintoma pode ser tanto a hipertensão quanto a hipotensão, e o paciente pode referir ataques de pânico. E ainda, outros sintomas como tremores e fadiga.
Diagnóstico
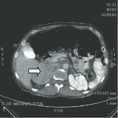
O diagnóstico do feocromocitoma requer a comprovação do excesso de liberação de catecolaminas, seguido da documentação anatômica do tumor. Muitos pacientes recebem o diagnóstico de forma acidental em exames de imagens, solicitados por queixas não relacionadas ao feocromocitoma, devido à maior disponibilidade de recursos nas últimas décadas. Aproximadamente 60% dos pacientes recebem o diagnóstico após achado acidental em tomografia computadorizada.

Os exames laboratoriais para aferição das catecolaminas consistem na medição de seus metabólitos, no plasma ou na urina. Assim, são pesquisadas a metanefrina ou a normetanefrina fracionadas livres no plasma, que apresentam sensibilidade de 97% e especificada de 93%. Entretanto, como a medição sérica desses metabólitos apresenta custos mais elevados, indica-se iniciar a pesquisa com os metabólitos na urina.
A medição da metanefrina isolada na urina de 24 horas ou sua associação com as catecolaminas urinárias, apesar de mais sensíveis, são menos específicas. Contudo, valores acima de 2 vezes o limite superior da normalidade indicam alta probabilidade diagnóstica de tumores secretores de catecolaminas.
Apesar disso, é preciso ter em mente que outras situações clínicas podem cursar com aumento das catecolaminas urinárias. Exemplo disso são as doenças agudas, sepse e o infarto agudo do miocárdio. Bem como a insuficiência cardíaca descompensada, uso de antidepressivos tricíclicos e antipsicóticos.
Todavia, os valores de catecolaminas costumam ser inferiores aos encontrados nos casos de tumores secretores de catecolaminas. Contudo, recomenda-se a suspensão dos antidepressivos tricíclicos e antipsicóticos pelo menos duas semanas antes de realizar a dosagem das catecolaminas.
Para mais, os exames de imagem de escolha para diagnóstico do feocromocitoma são a tomografia computadorizada ou a ressonância magnética (RM). À RM, o feocromocitoma apresenta-se com hipersinal em T2. E ainda, a cintilografia é um exame muito eficaz na localização do feocromocitoma, bem como do paraganglioma, doenças metastáticas e múltiplos tumores cromafins.

Tratamento:
A excisão cirúrgica do tumor é o tratamento definitivo para o feocromocitoma, promovendo a cura em 90% dos casos. Dessa forma, a remoção total e precoce do tumor proporciona, na maioria das vezes, a remissão total dos sintomas, assim como a cura da hipertensão arterial sistêmica. E ainda, previne a ocorrência de metástases.
O preparo para a cirurgia deve ser feito com alfa-1-bloqueadores, como a doxazosina ou a prazosina, a fim de normalizar a pressão arterial e expandir o espaço intravascular. Além disso, deve-se realizar hidratação venosa adequada e aumentar a ingesta oral de sódio, essa última por pelo menos duas semanas antes da realização da cirurgia.
O tratamento medicamentoso crônico também inclui o uso de alfa-1-bloqueadores, bem como betabloqueadores (BB) - em caso de taquicardia sintomática - bloqueadores de canal de cálcio (BCC), inibidores de conversão da angiotensina II (IECA) e outros medicamentos agonistas de ação central.
Para tratamento da crise hipertensiva paroxística, considerada uma emergência médica, deve-se iniciar o nitroprussiato de sódio ou a fentolamina injetável. E mais, realizar a reposição volêmica, caso seja necessário.
Prognóstico
A maioria dos feocromocitomas são benignos, com metástases ocorrendo em 10% dos casos. Entretanto, esses são historicamente e bioquimicamente análogos aos tumores benignos, diferindo desses apenas por sua capacidade de invasão local de tecidos, que podem ocorrer até 50 anos após a ressecção do tumor.
Além disso, a variação na forma e tamanho da célula tumoral não consegue predizer a gravidade do tumor, uma vez que, em tumores endócrinos, é difícil prever o comportamento biológico apenas a partir do aspecto morfológico.
Por essas razões, o acompanhamento do paciente com feocromocitoma, mesmo após a ressecção do tumor, é imprescindível.
Conclusão
O feocromocitoma, apesar de ser um tumor raro, pode trazer diversas complicações para o paciente. Assim, reconhecer seu papel como diagnóstico diferencial da hipertensão arterial sistêmica refratária, bem como sua tríade clássica, formas de diagnóstico e importância da ressecção cirúrgica precoce, tornam-se fundamentais.
Leia Mais:
- Câncer Colorretal: Sintomas, Como Diagnosticar e Tratar
- Neoplasias Uroteliais: tumores de bexiga
- Dislipidemia: O que é, Tipos, Causas, Sintomas e Tratamentos
FONTES:
- Barroso, Weimar Kunz Sebba et al. Diretrizes Brasileiras de Hipertensão Arterial – 2020. Arquivos brasileiros de cardiologia, v. 116, n. 3, p. 516-658, 2021.
- FAUCI, Jameson. et al. Medicina Interna de Harrison. Porto Alegre: AMGH, 2020.
- YOUNG, F. W., KEBEBEW, E. Treatment of pheochromocytoma in adults. UpToDate. 2021.
- YOUNG, W. F. Clinical Presentation and diagnosis of pheochromocytoma. UpToDate. 2022.



