A Síndrome Respiratória Aguda Grave (SRAG) é uma condição que engloba diversas infecções respiratórias que agravam-se nos pulmões. O estudo da SRAG é de suma importância para os candidatos que almejam ser aprovados nos processos seletivos de residência médica. Além disso, ainda é um tema super atual, visto que define os casos graves de COVID-19, tema crucial da saúde pública e epidemiologia. Vamos revisar os conceitos dessa condição tão discutida nos últimos tempos!
O que é SRAG?
A Síndrome Respiratória Aguda Grave (SRAG) é uma condição caracterizada por casos de Síndromes Gripais que agravam e agudizam, vindo a afetar de modo severo as vias aéreas inferiores. Ela pode ser causada por diferentes agentes infecciosos como vírus, bactérias e outros agentes etiológicos. A SRAG é um quadro emergencial que requer atenção imediata pelo risco de complicações respiratórias graves e até mesmo óbito.
As complicações mais comuns são a Insuficiência Respiratória, Síndrome do Desconforto Respiratório Agudo (SDRA), Pneumonia Bacteriana e Sepse.
Epidemiologia
Atualmente, dentro da SRAG, a epidemiologia é um dos tópicos de maior destaque, uma vez que estamos passando por uma transição epidemiológica de relevância global. Isso se dá pela pandemia de COVID-19, ocasionada por uma infecção respiratória que cursa com agravamento e SRAG. De acordo com o Ministério da saúde, do início da pandemia até o momento (05/2023) o Brasil teve 37.579.028 casos registrados com 702.664 pacientes vindo a falecer.
Os fatores de risco atualmente confirmados para a COVID-19 são: asma, doenças malignas (principalmente hematológicas), doenças cerebrovasculares, doença renal crônica em diálise, doenças crônicas (hepáticas, pulmonares e cardiovasculares), fibrose cística, diabetes, Sd de Down, HIV, demências, sedentarismo, gestação, obesidade, imunodeficiência e tabagismo. Diversas outras condições são especuladas como fator de risco, porém ainda não confirmadas.
O que causa a Síndrome Respiratória Aguda Grave?
A origem da Síndrome Respiratória Aguda Grave é de etiologia infecciosa de vias aéreas. Atualmente, a causa mais discutida é a infecção pelo Coronavírus, causando a condição responsável pela pandemia no ano de 2020 (SARS-COV-2). Além disso, outros vírus são os agentes causadores, como a Influenza A e B e o Vírus Sincicial Respiratório. Menos comumente, a SRAG pode ser causada por bactérias e fungos.
Quais são os sintomas da SRAG?
O quadro de sintomas iniciais da SRAG será semelhante ao de uma Síndrome Gripal (SG), incluindo a febre, calafrios, cefaleia, astenia, mialgia, tosse inicialmente não produtiva (desenvolvida depois de 2 a 7 dias), dispneia e dor torácica. A diferença da SRAG para a SG é que na primeira, o paciente evolui com estresse respiratório rapidamente progressivo que logo se expressa pela baixa saturação de oxigênio. O agravamento geralmente ocorre após 1 semana.
Ao exame físico, pode-se confirmar a febre (≥ 38ºC), dispneia, taquipneia, estertor em bases pulmonares auscultado durante a inspiração, saturação periférica de oxigênio abaixo do valor de referência.
Diagnóstico

O diagnóstico da Síndrome Respiratória Aguda Grave deve avaliar primeiramente a sintomatologia do paciente em questão. Os critérios clínicos são: quadro de Síndrome Gripal acompanhado de ≥ 1 dos sintomas determinantes de SRAG, sendo eles dispneia/desconforto respiratório, dor torácica, SatO2 < 95% em ar ambiente e cianose central.
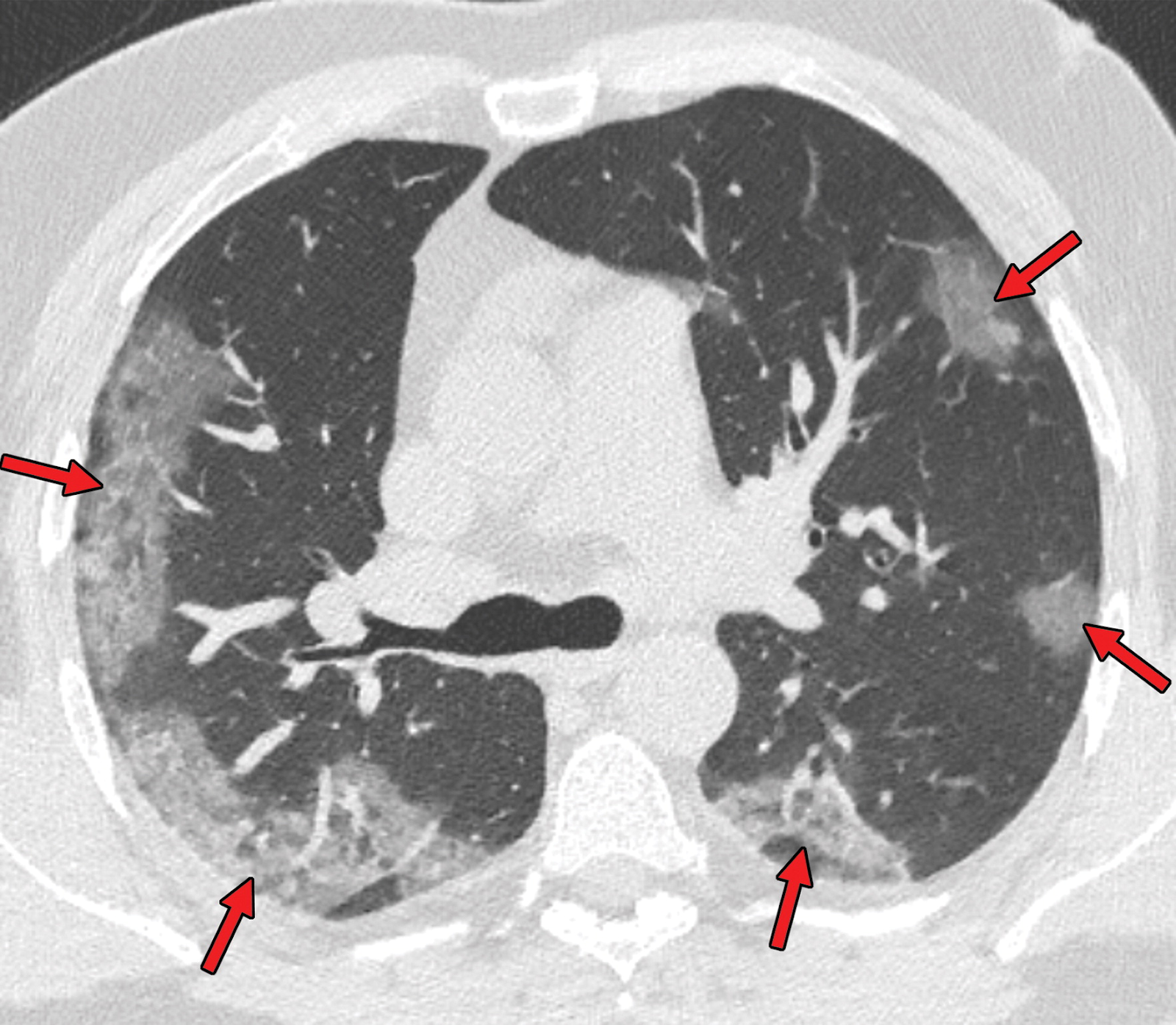
De exames complementares laboratoriais podemos solicitar um hemograma com hemocultura, cultura de escarro, testes de Influenza A e B juntamente com o de Vírus Respiratório Sincicial e o RT-PCR para o Coronavírus. Na investigação de imagem, o padrão-ouro é a Tomografia Computadorizada de alta resolução (TCAR) de tórax. Na prática, infelizmente, a TCAR não estará sempre disponível, sendo o Raio-X simples seu substituto. O achado será o padrão de vidro fosco por infiltrado intersticial. Veja abaixo:

Como tratar a SRAG?
Não há a determinação de um protocolo medicamentoso definitivo para a SRAG. Atualmente, o consenso é que pacientes com suspeita ou confirmação da síndrome sejam manejados da mesma maneira que pacientes com quadro grave de pneumonia adquirida na comunidade. Assim, o tratamento da Síndrome Respiratória Aguda Grave é essencialmente de suporte.
Medidas gerais são: isolamento social, internamento em leito hospitalar, oxigenoterapia (não sendo recomendado alto fluxo pelo risco de gerar aerossóis), identificação de necessidade de intubação precoce com ventilação por pressão positiva. Já os critérios de alta para cuidados domiciliares são: afebril por 48h, tosse superada, normalização de padrões laboratoriais e evolução positiva de padrões radiográficos.
Conclusão
Em conclusão, a Síndrome Respiratória Aguda Grave é um tema de evidência na atualidade, tanto na prática médica quanto nas provas de ingresso em programas de residência. É essencial a compreensão de que, mesmo o SARS-COV-2 sendo a etiologia de maior evidência, a SRAG possui outras etiologias relevantes. Assim, essa síndrome é de grande relevância em âmbito emergencial, principalmente pela perspectiva da pneumologia e infectologia.
Leia mais:
- Hipertrofia das adenoides: da clínica ao tratamento
- Infecção do Trato Respiratório Superior: O que é e Sintomas
- Pneumonia Viral: O que é, Sintomas, Diagnóstico e Tratamento
- Derrame pleural: o que é, sintomas e formas de tratamento
- Distúrbios respiratórios do recém-nascido: o que é, diagnóstico e tratamento
FONTES:
- Síndrome Respiratória Aguda Grave (SRAG) - DIVE
- Severe acute respiratory syndrome (SARS) - Symptoms and causes - Mayo Clinic
- Síndrome respiratória aguda grave (SARS) - Sintomas, diagnóstico e tratamento | BMJ Best Practice
- Severe Acute Respiratory Syndrome (SARS). Medscape
- Painel Coronavírus
- Underlying Medical Conditions Associated with Higher Risk for Severe COVID-19: Information for Healthcare Professionals | CDC



