A compreensão dos exames diagnósticos de imagem de tórax é fundamental na sua prática médica, uma vez que essa região abriga órgãos vitais, como os pulmões, o coração e as grandes artérias. A interpretação precisa desses exames é crucial para que se possa realizar um diagnóstico preciso e iniciar o tratamento adequado.
Vamos revisar os padrões de interpretação básicos da Radiografia e Tomografia torácica, muito importante para quem está no internato de medicina.
Radiografia de Tórax
Princípio da densidade
O princípio das densidades achadas no raio-x de tórax baseia-se na capacidade dos tecidos de absorver diferentes quantidades de radiação, o que resulta em diferentes graus de brilho na imagem final. O ar é o tecido que menos absorve e aparece preto na imagem. Os ossos, por sua vez, são densos e absorvem mais, aparecendo brancos na imagem. Os tecidos moles, como músculos e órgãos internos, absorvem uma quantidade intermediária de raios-X e aparecem em tons de cinza na imagem.

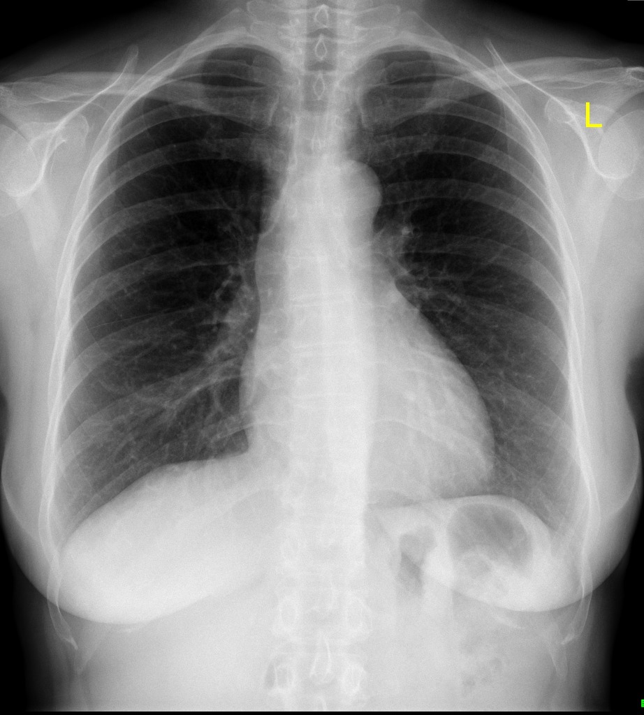
Faça a associação do quadro anterior à radiografia de tórax (sem alterações) à seguir:

Principais incidências
Existem diversas incidências no raio-x de tórax, que podem ser utilizadas para visualizar diferentes áreas e estruturas do local. As 2 principais e mais relevantes incidências incluem:
- Incidência posteroanterior (PA): é a principal incidência de todas as radiografias. O paciente fica em pé em frente ao equipamento e a imagem é tirada com os raios passando pelas costas e saindo pela frente do tórax. Caso esteja acamado, ela deverá ser substituída pela AP (anteroposterior), apesar dessa apresentar mais distorções anatômicas.
- Perfil: paciente fica de lado e os raios passam perpendicularmente à máquina. Essa incidência permite uma boa avaliação retroesternal e é sensível para pequenos derrames pleurais

Anatomia Radiológica

Durante a análise das estruturas torácicas, é importante a sistematização da avaliação, de modo que possíveis alterações não passem despercebidas. Abaixo estão os achados normais de cada localização:
- Abdome superior e diafragma: presença de bulha gástrica, seios costofrênicos livres, diafragma direito um pouco mais alto que o diafragma esquerdo.
- Parede torácica: avaliar as partes moles, integridade de mamas, cavos, axilas, fossas supraclaviculares e músculos do tórax.
- Ossos do tórax: analisar arcos costais, coluna torácica, escápulas clavículas, esterno e números proximais.
- Cavidades pleurais: espaços pleurais em estado normal são virtuais.
- Pulmões: à direita, tem 3 lobos e 2 fissuras e à esquerda, 2 lobos e 1 fissura. Avaliar trama vascular, hilo pulmonar, árvore traqueobrônquica (a direita é mais curta e verticalizada) e ângulo da carina.
- Mediastino: no pré-vascular (anterior), avaliar timo, gordura e linfonodos, no visceral (médio), avaliar traqueia, esôfago, linfonodos, coração e vasos e no paravertebral (posterior), avaliar partes moles e coluna torácica.
Avaliação de qualidade
- Inspiração: o paciente deve ser instruído a inspirar profundamente e manter a apneia enquanto a imagem é obtida. Isso ajuda a expandir os pulmões, aumentando a área que pode ser visualizada na imagem e reduzindo a sobreposição de estruturas. Para avaliar se um raio-x possui boa inspiração, conte se é possível observar 10 arcos costais de cada lado.

- Penetração: refere-se à quantidade de radiação que penetra na área sendo radiografada. Uma imagem de raio-x de alta qualidade deve mostrar as estruturas internas com clareza e precisão, com boa distribuição de radiotransparência e radiopacidade.

- Alinhamento: refere-se à posição correta do objeto e do equipamento de radiografia durante o exame. O alinhamento incorreto pode resultar em uma imagem borrada, obscurecida ou distorcida. No raio-x de tórax, usa-se a distância das clavículas ao processo espinhoso da coluna vertebral como parâmetro de alinhamento (devem ser equidistantes).

Tomografia de Tórax
Planos

Diferentemente da radiografia simples, essa técnica permite uma visualização tridimensional das estruturas torácicas. Os planos dessa visualização são 3: Axial, Sagital e Coronal.

Janelas

As janelas em uma tomografia são ajustes de visualização nas quais as imagens são exibidas em diferentes níveis de densidade e contraste, permitindo uma melhor avaliação de estruturas específicas. A Janela de Pulmão permite uma boa avaliação do parênquima pulmonar, a Janela de Mediastino avalia as estruturas contidas nesse espaço (coração, esôfago, aorta) e a Janela de Osso avalia os ossos da caixa torácica.
Angiotomografia

A Angiotomografia é um exame de imagem que combina a tomografia computadorizada com o uso de um contraste intravenoso iodado para avaliar as estruturas vasculares do tórax, como artérias e veias. É uma técnica não invasiva que permite a visualização detalhada dos vasos sanguíneos. É considerada padrão-ouro para o diagnóstico de Tromboembolismo Pulmonar e outras alterações dos vasos torácicos
Conclusão
Em conclusão, a interpretação radiográfica de tórax é uma ferramenta essencial na avaliação de doenças pulmonares e cardíacas. Existem vários métodos que podem ser utilizados para auxiliar na identificação de anormalidades, sendo os principais a Radiografia Simples e a Tomografia. Vamos ver a aula do Internato Sprint do Dr. Ítalo Ferreira sobre Radiografia de Tórax!
Leia mais:
- Trauma torácico: lesões com risco imediato à vida
- Sarcoidose: o que é, as causas e o tratamento
- Pneumonia Viral: O que é, Sintomas, Diagnóstico e Tratamento
- RCP em Crianças: O que é, Principais cuidados e Como Realizar
- Síndrome Coronariana Aguda: o que é, causas e diagnóstico
FONTES:
- Chen, Michael Y., M. et al. LANGE: Radiologia Básica. Disponível em: Minha Biblioteca, (2nd edição). Grupo A, 2012.
- Como Avaliar a Qualidade da Radiografia do Tórax



