As leucemias são as neoplasias mais comuns da infância, correspondendo a 28% de todos os tipos de câncer na pediatria. Dessas, a leucemia linfóide aguda (LLA) é o tipo mais comum, correspondendo a 75 a 80% dos casos.
Além disso, a LLA tem como a faixa etária mais comum de incidência o 2º ao 4º ano de vida. E apesar de ter etiologia desconhecida, são fatores de risco para a LLA a exposição pré-natal à radiação ionizante e alguns agentes quimioterápicos.
E mais, condições genéticas, como a Síndrome de Down -que aumenta a incidência de leucemia em até 20 vezes- e a síndrome de Klinefelter. E ainda, o tabagismo materno e paterno.
Conhecer o manejo da LLA é fundamental para sua prova de residência. Portanto, não perca mais um post essa semana para contribuir com a sua formação!
Como é a fisiopatologia da Leucemia Linfóide Aguda?
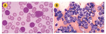
LLA é uma neoplasia maligna de origem na medula óssea. É monoclonal, ou seja, derivado de uma única célula maligna que provoca uma expansão clonal de células progenitoras: os linfoblastos, e são associadas a mutações inibidoras da apoptose.

Assim, devido a essa extensa multiplicação de linfoblastos na MO, há uma supressão da produção de precursores de eritrócitos, leucócitos normais e plaquetas. Dessa forma, no paciente com LLA, frequentemente há prejuízo na função imune normal.
Para mais, a LLA pode ser classificada em leucemia linfoblástica precursora de células B (85% das leucemias agudas na infância) ou precursora de células T. E mais, os sinais e sintomas evidenciados no quadro clínico serão decorrentes da infiltração neoplásica dos linfoblastos pela corrente sanguínea.

Como é o quadro clínico da Leucemia Linfóide Aguda?
A evolução do quadro é variável, podendo ocorrer em dias ou semanas. Ou ainda, de forma súbita.
A dor óssea e a artralgia são sintomas frequentes, e ocorrem devido a infiltração dos linfoblastos no periósteo. É mais comum em membros e, em geral, acomete predominantemente os membros inferiores. O controle dessa dor com anestésicos é difícil.
Além disso, cerca de 50 a 60% dos pacientes apresentam febre, que ocorre devido a citocinas produzidas pelas células normais ou leucêmicas.
E ainda, devido a infiltração dos blastos e supressão da produção de células normais na medula óssea, o paciente pode apresentar palidez, astenia e petéquias. E mais, equimoses e anemia.
Além disso, achados de hepatomegalia, esplenomegalia e linfonodomegalias generalizadas também podem estar presentes no exame físico. Além desses órgãos, o timo, rins e pele podem ser acometidos.
E mais, também os ovários, testículos e sistema nervoso central (SNC). Sendo que até 10% das crianças apresentam infiltração das células neoplásicas no SNC ao diagnóstico. Todavia, raramente apresentaram sintomas.
Além disso, crianças com leucemia linfoblástica precursora de células T podem apresentar massas mediastinais, devido à adenomegalia na região. Consequentemente, podem apresentar sintomas respiratórios, como tosse, taquipneia e dispneia.
Como diagnosticar a Leucemia Linfóide Aguda?
A avaliação da criança pode ser iniciada com o hemograma. Esse frequentemente evidencia leucocitose com blastos, auxiliando no diagnóstico. Ademais, a anemia, quando presente, é normocítica e normocrômica, além de apresentar diminuição do número de reticulócitos.
Quase sempre há presença da leucocitose. Entretanto, os leucócitos normais -eosinófilos, monócitos, neutrófilos- estarão diminuídos ou ausentes. Além disso, a neutropenia é considerada grave quando a contagem das células é < 500/mm3.
E ainda, a trombocitopenia está presente na maioria dos casos. Em 75% dos pacientes, a contagem é inferior a 100.000/mm3. Para mais, é importante recordar que a presença de hemorragias se correlaciona com o grau de trombocitopenia.
Apesar do hemograma evidenciar dados importantes, a confirmação do diagnóstico dá-se pelo mielograma, quando houver presença de 25% de mieloblastos na medula óssea. Esse método permite também a caracterização citomorfológica das células malignas, feita através da imunofenotipagem e citogenética.

Além disso, a radiografia de tórax deve ser feita em todos os pacientes. Caso o paciente apresente sintomas respiratórios, a radiografia de tórax torna-se imprescindível para o diferenciar o quadro de adenomegalia mediastinal, que ocorre em blastos precursores de células T, de outras comorbidades.
Diagnóstico diferencial
O diagnóstico diferencial deve ser feito com a artrite reumatóide juvenil, trombocitopenia imune primária e a aplasia de medula óssea. E mais, com a mononucleose infecciosa, leishmaniose visceral e leucemia mieloide aguda. E ainda, com o neuroblastoma, linfoma não Hodgkin e histiocitose de células de Langerhans.
Qual o prognóstico da Leucemia Linfóide Aguda?
A tabela abaixo expõe os fatores prognósticos favoráveis e desfavoráveis da Leucemia Linfóide Aguda.
Como tratar a Leucemia Linfóide Aguda?
Na suspeita diagnóstica da LLA, é imprescindível não prescrever corticoides. Isso porque eles provocam lise dos blastos, e podem comprometer a análise do mielograma.
O tratamento específico da doença é a quimioterapia, apresentando taxas de sobrevida livre da doença de 80%. Para mais, o transplante de medula óssea está indicado em casos de recidivas precoces.
Fontes:
Tratado de Pediatria: Sociedade Brasileira de Pediatria, 4ª edição, Barueri, SP: Manole, 2017.



